ตัวอย่างผลงานเคสจัดฟัน
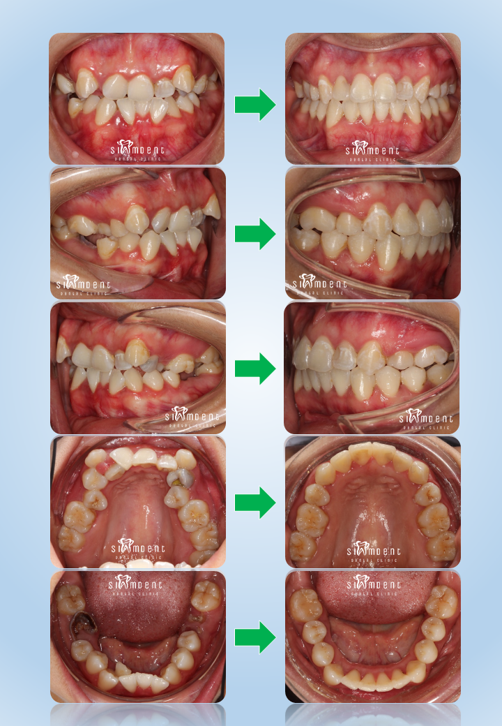
- ฟันซ้อนเก
- ฟันยื่น ฟันเหยิน
- ฟันสบคร่อม
- ฟันห่าง
- ฟันสบลึก
- ฟันสบเปิด
- จัดฟันดึงฟันคุด ฟันฝัง
- จัดฟันปิดช่องว่าง
- จัดฟันร่วมกับผ่าตัดขากรรไกร
- จัดฟันปรับรูปหน้า
- เคสแก้งานจัดฟัน จัดรอบ 2
- รากฟันเทียม
สามารถคลิกดูตัวอย่างเคสอีกมากมายได้ที่นี่ —> https://m.facebook.com/siamdent/photos
-
ฟันซ้อนเก
-
ฟันยื่น ฟันเหยิน
-
ฟันสบคร่อม
-
ฟันห่าง
-
ฟันสบลึก
-
ฟันสบเปิด
-
จัดฟันดึงฟันคุด ฟันฝัง
-
จัดฟันปิดช่องว่าง
-
จัดฟันร่วมกับการผ่าตัดขากรรไกร
-
จัดฟันปรับรูปหน้า
-
เคสแก้งานจัดฟัน/จัดฟันรอบ2
- รากฟันเทียม






































































































































































